火晶柿子的营养价值与独特风味
火晶柿子,又称“临潼火晶柿子”,是陕西省西安市临潼区特产的一种小型甜柿品种,因其果皮呈橙红色、晶莹剔透如红宝石而得名。其果实小巧玲珑,单果重约50-80克,口感软糯香甜,含糖量高(可达18%-22%),富含维生素C、β-胡萝卜素、钾、膳食纤维及多种多酚类抗氧化物质,具有一定的营养价值。
在成熟完全的情况下,火晶柿子中的可溶性单宁(鞣酸)含量较低,涩味几乎消失,适合鲜食。正因如此,它深受消费者喜爱,尤其在秋季上市期间广受欢迎。然而,尽管其风味诱人,但从营养学和消化健康角度出发,火晶柿子为何尽量少吃这一问题值得深入探讨。

鞣酸残留风险:未熟或空腹食用易引发胃结石
虽然完全成熟的火晶柿子鞣酸含量显著下降,但实际销售和食用过程中,仍存在大量未充分脱涩或采摘过早的情况。研究表明,即使是标称为“无涩”的火晶柿子,在常温下未后熟足够时间时,其可溶性鞣酸含量仍可能高达0.5%-1.2%,远高于安全阈值(一般认为低于0.1%为低涩品种)。
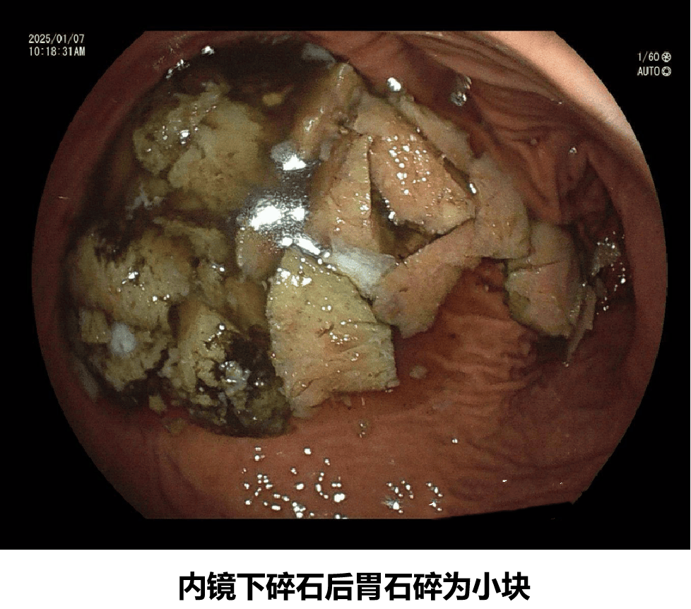
当鞣酸进入胃部后,在胃酸作用下会与蛋白质结合形成不溶于水的沉淀物——鞣酸蛋白,并进一步与果胶、纤维素等结合,形成团块状物质,即“胃柿石”。临床数据显示,每年秋冬季因过量食用柿子导致胃结石的病例明显上升,其中以老年人和胃肠功能较弱者居多。
《中华消化杂志》曾报道一例患者连续三天每日食用3个以上火晶柿子后出现剧烈腹痛、恶心呕吐,经胃镜确诊为直径达4厘米的胃结石,最终需内镜下碎石治疗。因此,火晶柿子为何尽量少吃的核心原因之一就在于其潜在的鞣酸致石风险。
高糖分与高果胶:糖尿病与消化不良人群需警惕
火晶柿子属于高糖水果,其可溶性糖主要为葡萄糖、果糖和蔗糖,升糖指数(GI)约为65,属中等偏高水平。每100克果肉含糖量可达18克以上,相当于半碗米饭的碳水化合物含量。对于糖尿病患者或血糖控制不佳的人群而言,一次性摄入过多极易引起餐后血糖波动。
此外,火晶柿子富含果胶——一种水溶性膳食纤维,适量摄入有助于润肠通便,但过量则可能导致腹胀、腹泻或肠道蠕动异常。特别是儿童和脾胃虚弱者,若一次食用超过两个(约150克),可能出现消化不良症状。
更值得注意的是,果胶与鞣酸共同作用,会增强胃石形成的稳定性。因此,即使个别火晶柿子已脱涩,其高果胶特性仍可能协同少量残留鞣酸促成结石生成。

特殊人群应严格限制摄入量
基于上述健康风险,以下人群应特别注意避免或严格限制火晶柿子的摄入:
- 空腹者:禁止单独空腹食用,以免胃酸浓度高加剧鞣酸沉淀;
- 糖尿病患者:建议单次食用不超过半个(约40克),并计入全天碳水总量;
- 胃肠疾病患者:包括慢性胃炎、胃溃疡、胃动力不足者,易诱发腹痛、梗阻;
- 术后恢复期人群:消化功能尚未恢复,不宜承担额外负担;
- 儿童与老年人:代谢能力弱,结石发生率相对更高。
中国营养学会发布的《中国居民膳食指南(2023)》建议,成人每日水果摄入量为200-350克,且应多样化选择。火晶柿子虽具特色,但不应作为日常主选水果,每周食用不超过1-2次,每次不超过1个为宜。
科学食用建议:如何降低健康风险
若确实喜爱火晶柿子风味,可通过以下方式降低健康风险:
- 确保充分成熟:选择果皮全红、质地柔软、无青绿斑块的果实;
- 避免空腹食用:最好在饭后1小时少量品尝;
- 不与高蛋白食物同食:如虾、蟹、牛奶、鸡蛋等,防止鞣酸与蛋白质快速结合;
- 控制食用量:健康成人每日不超过1个,特殊人群减半或禁食;
- 及时处理不适症状:若食用后出现上腹胀痛、恶心,应及时就医排查胃石可能。
结语
火晶柿子作为一种地域特色鲜明的小众水果,以其独特的外观和香甜口感赢得市场青睐。然而,正因其高糖、高果胶及潜在鞣酸残留特性,使得“火晶柿子为何尽量少吃”成为一个不可忽视的营养健康议题。科学认知其风险,合理控制摄入频率与数量,才能真正实现“美味与健康兼得”。
